ざまクリニック 症例一例
ざまクリニック所沢のブログでは日常報告から、症例、出来事、意見等様々な角度から記事にしています。
その中でも症例記事をホームページに転載致しました。
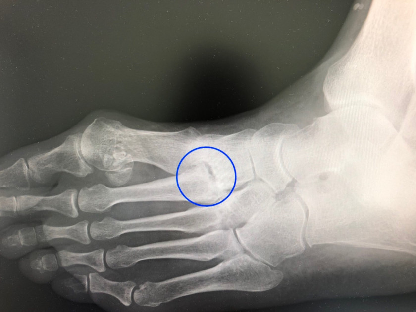
2019/06/28 レントゲン写真は問題有りません。
受診された患者さんです。最近、ケガをしたわけでもないのに、旧に左足の甲が痛くなり、某病院を受診。その時、医師から言われたのが冒頭(タイトル)の言葉。 患者さんが覚えていた詳細は、「レントゲンは問題有りません。湿布でも出しましょうか、どうします?」だったとか・・・・。
診察してみると、外反母趾もありますが、左足の甲が腫れてます。
第2中足骨基部の関節付近です。「あ~(また)」()は心の声
5月の連休明けにも同じ疾患の方を診ています。その方も「レントゲンは問題有りません。痛風かなぁ。」と言われてました。
受診された患者さんです。最近、ケガをしたわけでもないのに、旧に左足の甲が痛くなり、某病院を受診。その時、医師から言われたのが冒頭(タイトル)の言葉。 患者さんが覚えていた詳細は、「レントゲンは問題有りません。湿布でも出しましょうか、どうします?」だったとか・・・・。診察してみると、外反母趾もありますが、左足の甲が腫れてます。
第2中足骨基部の関節付近です。「あ~(また)」()は心の声
5月の連休明けにも同じ疾患の方を診ています。その方も「レントゲンは問題有りません。痛風かなぁ。」と言われてました。
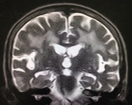
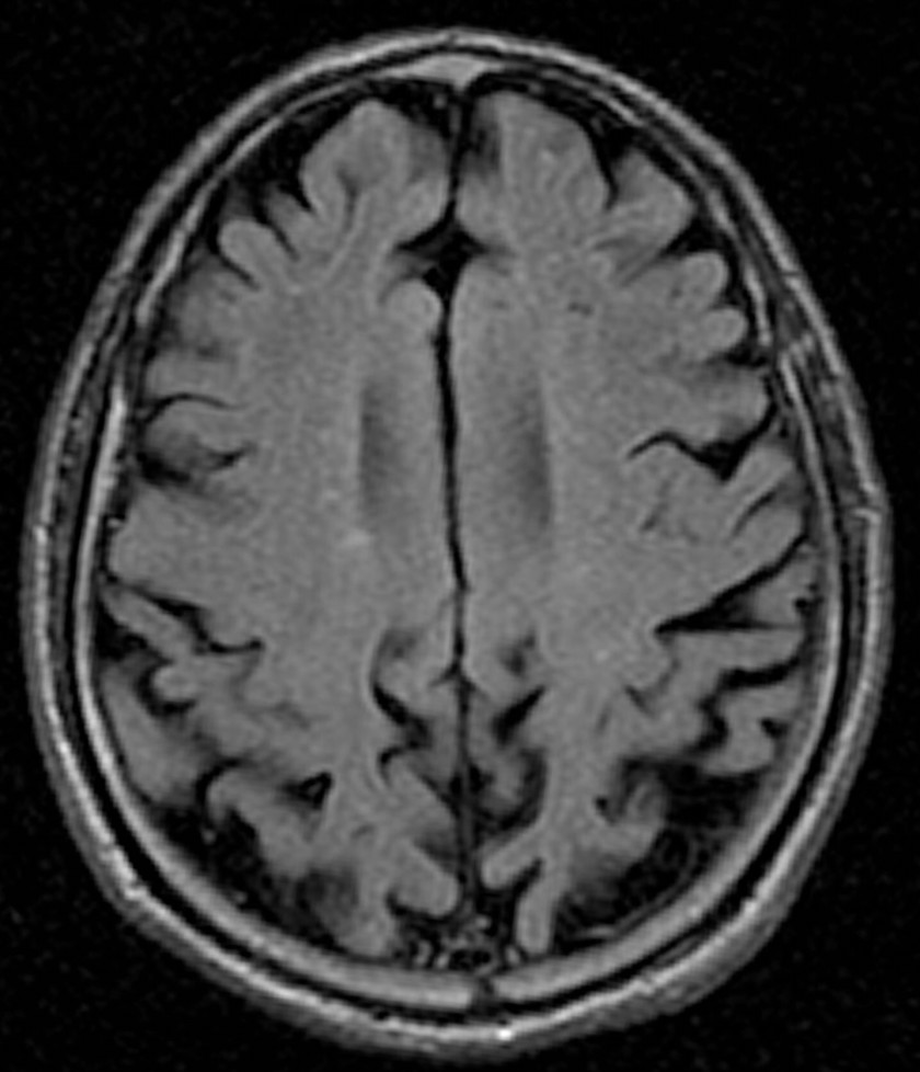
2018/11/03【超高齢者の認知症】この症状ではナニをすべきか?
90代前半の症例。風貌は“長身の老紳士”。記憶の問題あり。
虚血性心疾患の既往もあり。認知機能テストは低得点。MRIも裏付ける内容。他スライスでも明らかな、広汎な白質病変を伴う左右差のある強烈な海馬萎縮。AGDを疑わせるような行動異常は認めず。アルツハイマーにおける海馬萎縮の左右差頻度は拙著に記載した通り、珍しくもなし。年齢的にNFTDとの鑑別は当然だが、過剰リン酸化タウオンリーよりも、アミロイドβ+過剰リン酸化タウのコラボがこの強烈な海馬萎縮の元凶と“妄想”。処方されていたメマリーでノイズを消すことよりも、既往歴と白質病変から考えるに優先すべきことがあるのでは❓
ポリファマシーを避けるべく、処方しても“1種類”。他にも問題を見つけたので、そちらを改善してから・・・。
90代前半の症例。風貌は“長身の老紳士”。記憶の問題あり。虚血性心疾患の既往もあり。認知機能テストは低得点。MRIも裏付ける内容。他スライスでも明らかな、広汎な白質病変を伴う左右差のある強烈な海馬萎縮。AGDを疑わせるような行動異常は認めず。アルツハイマーにおける海馬萎縮の左右差頻度は拙著に記載した通り、珍しくもなし。年齢的にNFTDとの鑑別は当然だが、過剰リン酸化タウオンリーよりも、アミロイドβ+過剰リン酸化タウのコラボがこの強烈な海馬萎縮の元凶と“妄想”。処方されていたメマリーでノイズを消すことよりも、既往歴と白質病変から考えるに優先すべきことがあるのでは❓
ポリファマシーを避けるべく、処方しても“1種類”。他にも問題を見つけたので、そちらを改善してから・・・。
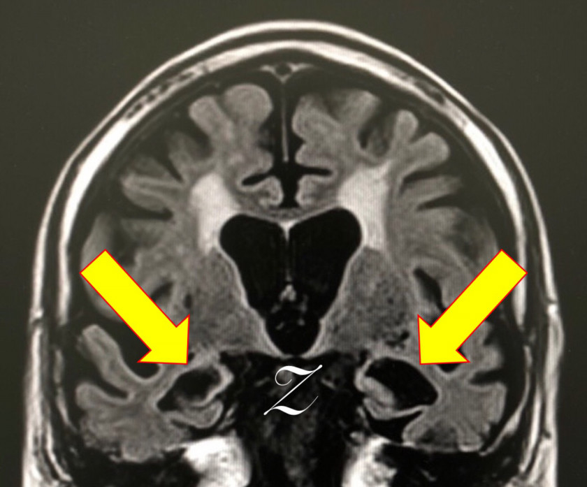
2018/10/31 レビー小体型認知症+「他 認知症」合併症例
パーキンソン病と◯年も前に診断されています。幻視、せん妄も認めています。前医では、抗認知症薬が処方されていました。
受診時の認知機能テスト他から判断するに、どのような効果が出ているのか❓・・・。テストの点数はヒトケタ、遅延再生は全く得点できず。時計や図形も・・・。そして、結果を裏付けるようなMRI結果。
高度な側頭葉内側の萎縮は純粋なレビーのそれとは異なります。
とても、とても、酵素を阻害したくらいで、記憶が改善するなんて状況では無かったのです。記憶に関与する細胞は激減、「記憶装置」は見事に破壊されているのですから。しかも、錐体外路症状は非常に強く、どんどん日常生活動作のレベルが低下する中、どのように対処していくべきか。
ムダな抗認知症薬は中止しましたが、今後、いかに運動機能を維持するか❓
レビー小体を消し、ニューロン再生ができる日は❓
パーキンソン病と◯年も前に診断されています。幻視、せん妄も認めています。前医では、抗認知症薬が処方されていました。受診時の認知機能テスト他から判断するに、どのような効果が出ているのか❓・・・。テストの点数はヒトケタ、遅延再生は全く得点できず。時計や図形も・・・。そして、結果を裏付けるようなMRI結果。
高度な側頭葉内側の萎縮は純粋なレビーのそれとは異なります。
とても、とても、酵素を阻害したくらいで、記憶が改善するなんて状況では無かったのです。記憶に関与する細胞は激減、「記憶装置」は見事に破壊されているのですから。しかも、錐体外路症状は非常に強く、どんどん日常生活動作のレベルが低下する中、どのように対処していくべきか。
ムダな抗認知症薬は中止しましたが、今後、いかに運動機能を維持するか❓
レビー小体を消し、ニューロン再生ができる日は❓
2018/09/24 痛くない方から手術しましょう?
80歳代の女性主訴は⭐️左大腿部痛・歩行障害 某病院整形外科受診 ⭐️右股関節からオペしましょうと言われて以降受診せず先日、友人に紹介され当院受診。診断は両
変形性股関節症 内科系の先生方にはナゼこうなったか❓基礎になった股関節の異常が見つけ出せますか❓さて前医はナゼ患者さんが痛がっている左側ではなく右側の股関節からオペと言われたのか❓ミタメはド派手な右側を一般の方を含めほぼ皆様がオペしたらと言うでしょう。入室時の歩容を見たら容易に理解できますが重症なのは明らかに左側でした。レントゲンでも容易にわかります。よく観察すること。この点は基礎も臨床も同じ。
80歳代の女性主訴は⭐️左大腿部痛・歩行障害 某病院整形外科受診 ⭐️右股関節からオペしましょうと言われて以降受診せず先日、友人に紹介され当院受診。診断は両
変形性股関節症 内科系の先生方にはナゼこうなったか❓基礎になった股関節の異常が見つけ出せますか❓さて前医はナゼ患者さんが痛がっている左側ではなく右側の股関節からオペと言われたのか❓ミタメはド派手な右側を一般の方を含めほぼ皆様がオペしたらと言うでしょう。入室時の歩容を見たら容易に理解できますが重症なのは明らかに左側でした。レントゲンでも容易にわかります。よく観察すること。この点は基礎も臨床も同じ。
2018/06/09 重度のアルツハイマーに◯◯ニール®︎
80歳代 男性。70歳代半ばから記憶障害にて発症。数年前から認知症専門外来にて◯◯ニール®︎の処方を受ける。
服用すると、興奮、妄想も必発。家族も主治医に報告。すると、◯◯ペリドンが追加処方。トイレの場所も分からなくなる。
困って相談したケア施設から紹介され受診。錐体外路兆候は認めないが、動作緩慢。
明らかに覚醒度が低下。認知機能テストも“薬害”から脱出できたら現状より改善するだろうが、遅延再生0点のトータルも重度のレベル。フランスは今年8月から、ドネペジル、ガランタミン、リバスチグミン、メマンチンの認知症治療薬4剤の健康保険適用除外を通達。しかも、今回の症例で使用されたガランタミンである◯◯ニール®︎。ナニに効いているかも❓なんだが、厚労省の認める適用段階ですら、軽度および中等度のアルツハイマーとなっている。
ムダな投薬である◯◯ニール®︎と◯◯ペリドンはバッサリ。MRIの結果報告時には明らかに初診時より言動面に改善を確認。MRIでは、アルツハイマーでも障害される前頭葉の著明萎縮・両側海馬の萎縮を確認。
圧倒的な数のアルツハイマー型認知症。アルツハイマーも理解できないレベルで、独力で世界中を飛び回る文献や情報も見つけ出せないレベルで、滅多にお目にもかかれない前頭側頭型認知症が分からないと認知症が診れません❓
自分の治療に専念されたし。もちろん、この症例もノーサプリメント。
80歳代 男性。70歳代半ばから記憶障害にて発症。数年前から認知症専門外来にて◯◯ニール®︎の処方を受ける。
服用すると、興奮、妄想も必発。家族も主治医に報告。すると、◯◯ペリドンが追加処方。トイレの場所も分からなくなる。
困って相談したケア施設から紹介され受診。錐体外路兆候は認めないが、動作緩慢。
明らかに覚醒度が低下。認知機能テストも“薬害”から脱出できたら現状より改善するだろうが、遅延再生0点のトータルも重度のレベル。フランスは今年8月から、ドネペジル、ガランタミン、リバスチグミン、メマンチンの認知症治療薬4剤の健康保険適用除外を通達。しかも、今回の症例で使用されたガランタミンである◯◯ニール®︎。ナニに効いているかも❓なんだが、厚労省の認める適用段階ですら、軽度および中等度のアルツハイマーとなっている。
ムダな投薬である◯◯ニール®︎と◯◯ペリドンはバッサリ。MRIの結果報告時には明らかに初診時より言動面に改善を確認。MRIでは、アルツハイマーでも障害される前頭葉の著明萎縮・両側海馬の萎縮を確認。
圧倒的な数のアルツハイマー型認知症。アルツハイマーも理解できないレベルで、独力で世界中を飛び回る文献や情報も見つけ出せないレベルで、滅多にお目にもかかれない前頭側頭型認知症が分からないと認知症が診れません❓
自分の治療に専念されたし。もちろん、この症例もノーサプリメント。
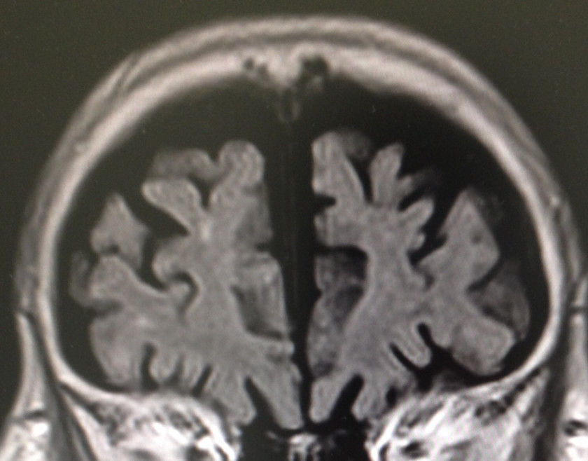
2018/09/18 MRIでも◯◯だから、CTなんて❌❌
もう、15年以上(もっとかも)、診療してきた80歳代 女性。お付き合いが長くなりました。
今回、ちょっとしたキッカケがあり、MRI撮影となりました。認知機能に問題なく、年に何回か(つい最近も)、海外に一人で行って来る方。長年の高血圧もあり、降圧剤を処方していますが、コントロール状況は良好。でも、最近の言動は昔より、何だか、自己否定的。鬱っぽい・・・。もともと、アタマの回転の良い方。御両親も、お子様も医療関係者。
色々な悩みも聞いてきたので、些細な言動でも、なんと無く気になる・・・。MRIの結果。前頭葉が萎縮している‼️
ピッ◯切痕がある‼️🤣医療で、絶対なんてあり得ない。そりゃ否定しません。が・・・この方の場合、自信をもって言えますが、
“一部の医者”が乱発しているピック病になるリスクはゼロでしょう。そもそも、ピック病が80歳代で発症なんて❓
🤣まぁ、そんなことは全く心配していません。さて、ココから本題。CTファン❓には申し訳ないが、MRIの撮影条件は上記のモノだけではありません。
上と同じ部位を異なる条件で撮影したのが以下。
異常が一目瞭然。白い部分が目立ちます。いわゆる、白質病変ですね。MRIを撮影しても、最初の条件のモノでは、診断できませんでした。では、CTだったら診断できましたか❓ゾッとしますね。各スライスをジッと見てみると、前頭葉の白質に白い部分が多いコトがわかりました。この所見は処方の参考にもなりました。なんとか、鬱っぽい状態から脱出させませんと。
もちろん、ノーサプリメントで。最後に。MRIでも完璧にはできないですが、CTで認知症診断なんてできますか❓
高血圧症例は可能な限り、MRI撮影をしてもらいましょう。
理由は何でも知っているあなたの主治医にお尋ねください。。
もう、15年以上(もっとかも)、診療してきた80歳代 女性。お付き合いが長くなりました。
今回、ちょっとしたキッカケがあり、MRI撮影となりました。認知機能に問題なく、年に何回か(つい最近も)、海外に一人で行って来る方。長年の高血圧もあり、降圧剤を処方していますが、コントロール状況は良好。でも、最近の言動は昔より、何だか、自己否定的。鬱っぽい・・・。もともと、アタマの回転の良い方。御両親も、お子様も医療関係者。
色々な悩みも聞いてきたので、些細な言動でも、なんと無く気になる・・・。MRIの結果。前頭葉が萎縮している‼️
ピッ◯切痕がある‼️🤣医療で、絶対なんてあり得ない。そりゃ否定しません。が・・・この方の場合、自信をもって言えますが、
“一部の医者”が乱発しているピック病になるリスクはゼロでしょう。そもそも、ピック病が80歳代で発症なんて❓
🤣まぁ、そんなことは全く心配していません。さて、ココから本題。CTファン❓には申し訳ないが、MRIの撮影条件は上記のモノだけではありません。
上と同じ部位を異なる条件で撮影したのが以下。
異常が一目瞭然。白い部分が目立ちます。いわゆる、白質病変ですね。MRIを撮影しても、最初の条件のモノでは、診断できませんでした。では、CTだったら診断できましたか❓ゾッとしますね。各スライスをジッと見てみると、前頭葉の白質に白い部分が多いコトがわかりました。この所見は処方の参考にもなりました。なんとか、鬱っぽい状態から脱出させませんと。もちろん、ノーサプリメントで。最後に。MRIでも完璧にはできないですが、CTで認知症診断なんてできますか❓
高血圧症例は可能な限り、MRI撮影をしてもらいましょう。
理由は何でも知っているあなたの主治医にお尋ねください。。
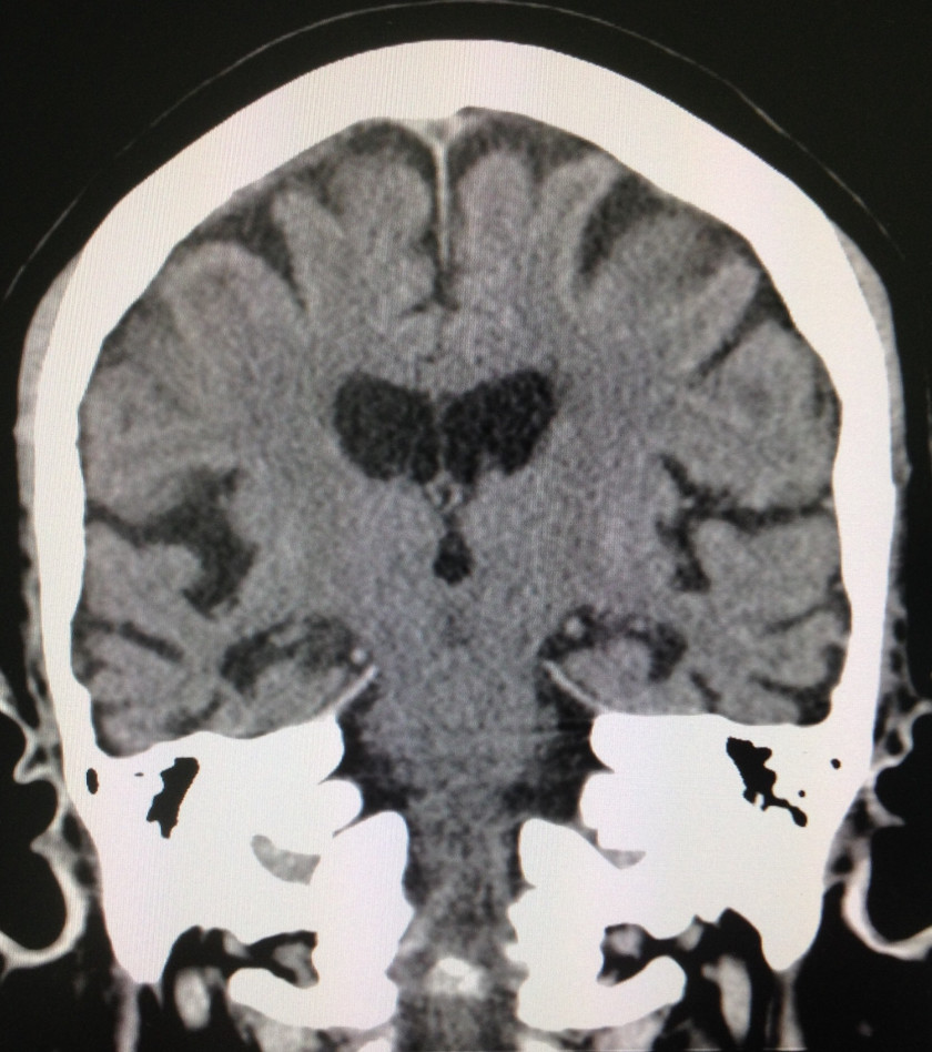
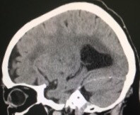
2018/06/05 急に歩けなくなったアルツハイマー症例
80歳代 女性。昨年末から診療開始。
改訂長谷川式 11/30 遅延再生 0/6 頭部MRI(受診時)前頭葉と両側海馬の萎縮 錐体外路兆候及び行動異常 認めず。今年、3月初めに転倒。頭部CT上、血腫認めず。4月中旬、代診だったが、トイレに歩いて行けている、夜間に家の中を歩き回って困る等、歩行障害はなかった。5月中旬、「歩けなくなった」と受診。見当はついているので、脳外科を紹介。その返事に同封されていた写真が上のもの。無事にオペも終わり、元気であると、わざわざ、御家族が御礼の挨拶に来院され、近況を聞くことができた。でも、両側に血腫があるとは思っていませんでした。
80歳代 女性。昨年末から診療開始。改訂長谷川式 11/30 遅延再生 0/6 頭部MRI(受診時)前頭葉と両側海馬の萎縮 錐体外路兆候及び行動異常 認めず。今年、3月初めに転倒。頭部CT上、血腫認めず。4月中旬、代診だったが、トイレに歩いて行けている、夜間に家の中を歩き回って困る等、歩行障害はなかった。5月中旬、「歩けなくなった」と受診。見当はついているので、脳外科を紹介。その返事に同封されていた写真が上のもの。無事にオペも終わり、元気であると、わざわざ、御家族が御礼の挨拶に来院され、近況を聞くことができた。でも、両側に血腫があるとは思っていませんでした。
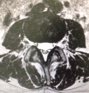
2018/04/16 1年半の間 脊柱管狭窄 と診断されていた
70+α歳 女性。主訴は右大腿部痛による歩行障害。1年半前に、某病院整形外科受診。
腰部脊柱管狭窄と診断。8週間おきに通院、投薬を受けていました。
痛くて、歩くこともままならなくなり、友人に相談。この友人から当院を紹介され受診。腰椎のレントゲン写真が最初の写真。入室時の“典型的跛行”を見れば、診断は容易。
ま・・・、前医で脊柱管狭窄と言われてしまっては、腰椎のレントゲン撮影も無視できず。
腰椎の写真と・・・両股関節正面を撮影。以下が股関節の写真。
両股関節正面。むかって、左側が右の股関節。左股関節と違うのがわかると思います。
右股関節は典型的な関節症性変化を呈しています。
診断は『右変形性股関節症』。
どこから、腰部脊柱管狭窄と言う診断になるのか?問診からも、画像からも、その答えに到達できませんでした。
全く効果を認められていない前医の薬剤は中止。この患者さんの現在の歩容を見たら、迷うことなく、第1選択はオペでしょう。
情報提供書を書きました。歩き方。重要ですね。アルツハイマー型認知症の患者さんが正常圧水頭症を併発していたのも、教えてくれたのは・・・歩き方でした。整形外科領域は画像が命。でも、身体学的所見も無視で、股関節のレントゲンも撮影していなければ、永遠に正解は出せません。1年半なら、良かったのでしょうか?
70+α歳 女性。主訴は右大腿部痛による歩行障害。1年半前に、某病院整形外科受診。腰部脊柱管狭窄と診断。8週間おきに通院、投薬を受けていました。
痛くて、歩くこともままならなくなり、友人に相談。この友人から当院を紹介され受診。腰椎のレントゲン写真が最初の写真。入室時の“典型的跛行”を見れば、診断は容易。
ま・・・、前医で脊柱管狭窄と言われてしまっては、腰椎のレントゲン撮影も無視できず。
腰椎の写真と・・・両股関節正面を撮影。以下が股関節の写真。
両股関節正面。むかって、左側が右の股関節。左股関節と違うのがわかると思います。
右股関節は典型的な関節症性変化を呈しています。
診断は『右変形性股関節症』。どこから、腰部脊柱管狭窄と言う診断になるのか?問診からも、画像からも、その答えに到達できませんでした。
全く効果を認められていない前医の薬剤は中止。この患者さんの現在の歩容を見たら、迷うことなく、第1選択はオペでしょう。
情報提供書を書きました。歩き方。重要ですね。アルツハイマー型認知症の患者さんが正常圧水頭症を併発していたのも、教えてくれたのは・・・歩き方でした。整形外科領域は画像が命。でも、身体学的所見も無視で、股関節のレントゲンも撮影していなければ、永遠に正解は出せません。1年半なら、良かったのでしょうか?
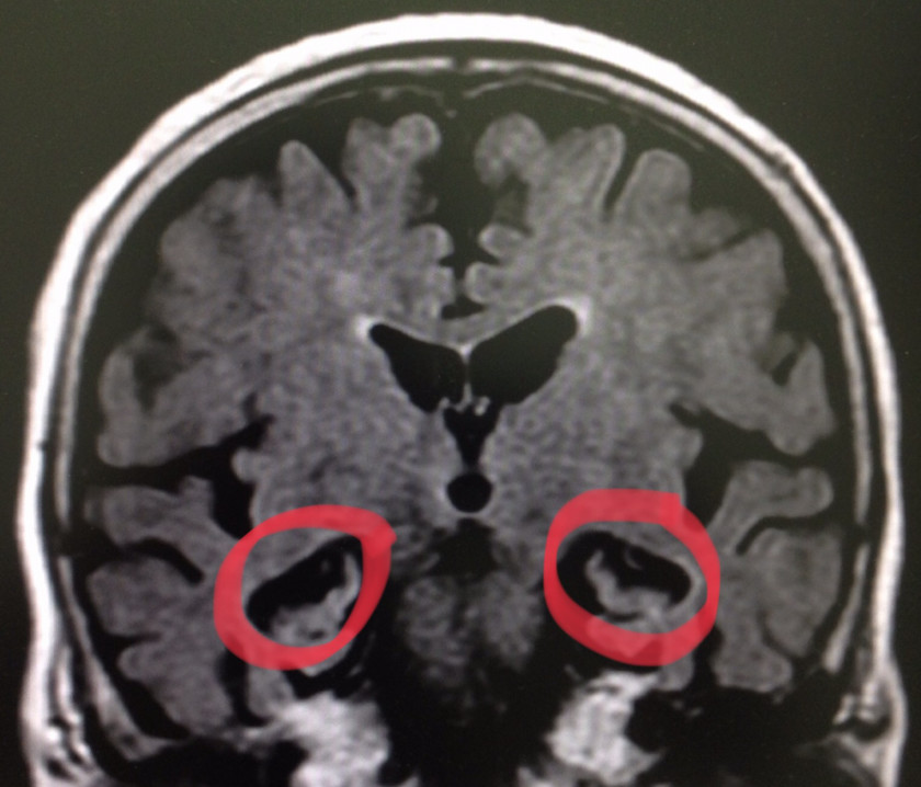
2018/01/09 処方は続くよ ドコまでも
80代女性、妄想と記憶に問題があり受診。妄想の主体はモノ取られ妄想ですね。2年前から異常が認められるようになった。持参された頭部MRIの写真コレも2年前のもの。
まっ コレでヨシとしました。赤い⭕️で囲んだ部分はガラーンとしていますが・・・
例の“海馬”が存在する部位、改訂長谷川式10/30 遅延再生全滅。写真を出しませんでしたが、前頭葉の萎縮もある年齢です。
でも、それ以上に激しい萎縮が頭頂葉にありました。図形も時計も書けません。
この症例は画像でみたままの状況と言って良いと思います。重要なことは、萎縮=機能障害は常に成立しないのです‼️
仕方ないのですよ。
本やらブログなどに何度も何度も書いた通り、脳の素晴らしい機能が外から見ただけでわかりますか❓ってコト。
海馬がひどく萎縮していても全然問題なく得点できて生活できている人が実際通院されていますからね。神経痛で・・・
さて 本題。例のごとくアリャセプトなんて薬剤が他院よりずーっと出されていましたが家族が言うには「何も良くならない」理屈通りですね。考えれば容易にわかるコトです。
海馬の部分の神経が壊れて無くなったそこにアリャセプトを投与。もりもりと海馬の神経細胞が生き返り元に戻る。そんなことは絶対に起こりません。アリャセプトには神経を治す効果はカケラも無いのです。
アセチルコリンをダブつかせて神経の尻を叩くだけ、でも・・・対象の神経はもういない。😨
BPSDである妄想は減るんでは❓アリャセプト飲んでいても「何も良くならない」家族が下した結論です。
もう、こういう儀式はやめませんかね。もちろんサプリなんて使う対象じゃありません。海馬がもりもりできますか❓
ノーベル賞ですわ。そんなことできたら。
『白内障で白濁した水晶体はいつになったら元の透き通った水晶体に戻せますかね❓』同じ次元の議論ですね 。
80代女性、妄想と記憶に問題があり受診。妄想の主体はモノ取られ妄想ですね。2年前から異常が認められるようになった。持参された頭部MRIの写真コレも2年前のもの。まっ コレでヨシとしました。赤い⭕️で囲んだ部分はガラーンとしていますが・・・
例の“海馬”が存在する部位、改訂長谷川式10/30 遅延再生全滅。写真を出しませんでしたが、前頭葉の萎縮もある年齢です。
でも、それ以上に激しい萎縮が頭頂葉にありました。図形も時計も書けません。
この症例は画像でみたままの状況と言って良いと思います。重要なことは、萎縮=機能障害は常に成立しないのです‼️
仕方ないのですよ。
本やらブログなどに何度も何度も書いた通り、脳の素晴らしい機能が外から見ただけでわかりますか❓ってコト。
海馬がひどく萎縮していても全然問題なく得点できて生活できている人が実際通院されていますからね。神経痛で・・・
さて 本題。例のごとくアリャセプトなんて薬剤が他院よりずーっと出されていましたが家族が言うには「何も良くならない」理屈通りですね。考えれば容易にわかるコトです。
海馬の部分の神経が壊れて無くなったそこにアリャセプトを投与。もりもりと海馬の神経細胞が生き返り元に戻る。そんなことは絶対に起こりません。アリャセプトには神経を治す効果はカケラも無いのです。
アセチルコリンをダブつかせて神経の尻を叩くだけ、でも・・・対象の神経はもういない。😨
BPSDである妄想は減るんでは❓アリャセプト飲んでいても「何も良くならない」家族が下した結論です。
もう、こういう儀式はやめませんかね。もちろんサプリなんて使う対象じゃありません。海馬がもりもりできますか❓
ノーベル賞ですわ。そんなことできたら。
『白内障で白濁した水晶体はいつになったら元の透き通った水晶体に戻せますかね❓』同じ次元の議論ですね 。
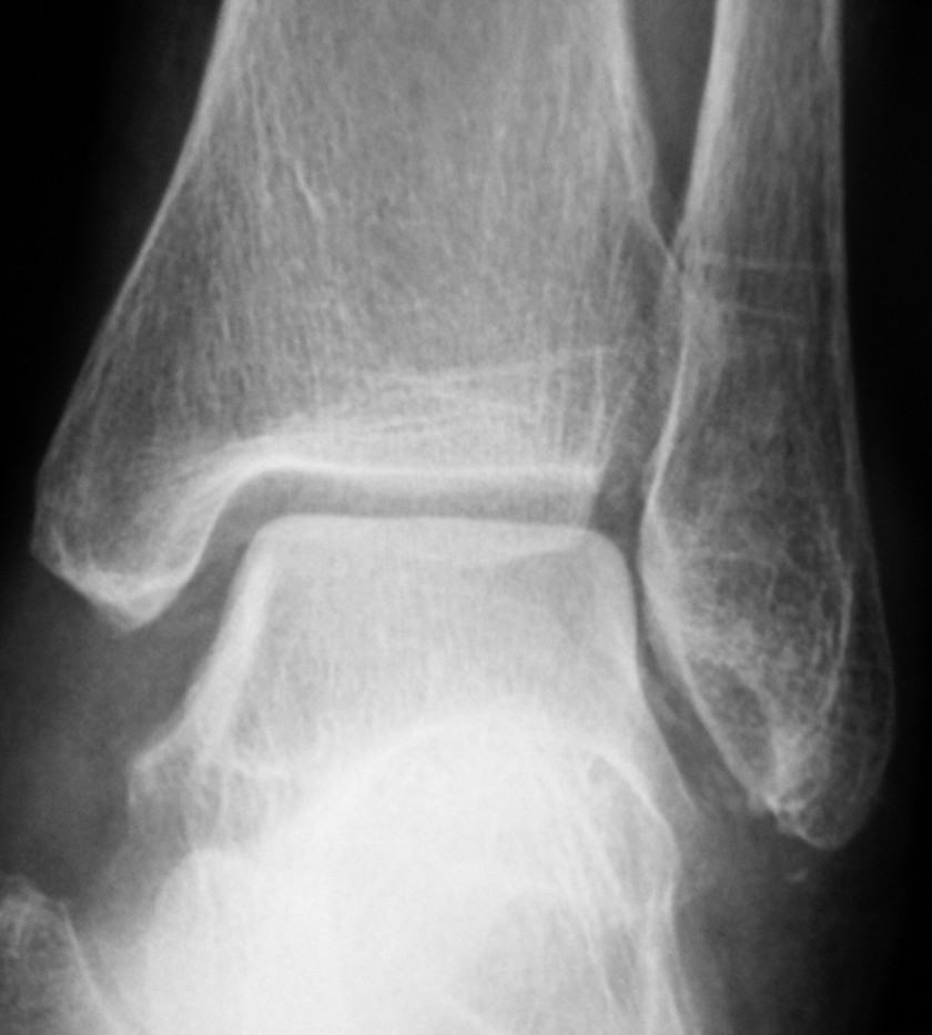
2017/08/25 マッサージ後から腫れた足くび
80代の症例。7月末に「坐骨神経痛」と整骨院で診断されて足くびをマッサージをされたとか。
それ以降、左側優位の足関節腫脹出現。近所の整形外科を受診。特に足関節に言及ナシだったとか。
薬剤を処方されるも、腫脹回復せず、友人からの紹介で当院受診。Xp上、異常確認。
投薬開始。
80代の症例。7月末に「坐骨神経痛」と整骨院で診断されて足くびをマッサージをされたとか。それ以降、左側優位の足関節腫脹出現。近所の整形外科を受診。特に足関節に言及ナシだったとか。
薬剤を処方されるも、腫脹回復せず、友人からの紹介で当院受診。Xp上、異常確認。
投薬開始。
2017/08/06 医師はアルツハイマー 家族はレビーと診断した症例
90歳代前半。「物忘れ」があるから、医師は迷わずドネペジルを処方。「幻視」もあったから、家族はレビー小体型認知症を疑う。最近、よく見られるパターン。パーキンソン症状は認めず、認知機能の変動は❓❓幻視も聞けば、レビーの幻視でないとわかり、家族持参のMRIを見れば納得。プレタール®︎服用後から、ハッキリされましたとのこと。
幻視があればレビー小体型認知症❓神経の分野も簡略化されたもの。脚が痛くなれば坐骨神経痛❓腰が痛くなればヘルニア❓それらと同次元の診断力。真夏に増える幻視の原因は❓ 真夏の夜の怪談でした👻
90歳代前半。「物忘れ」があるから、医師は迷わずドネペジルを処方。「幻視」もあったから、家族はレビー小体型認知症を疑う。最近、よく見られるパターン。パーキンソン症状は認めず、認知機能の変動は❓❓幻視も聞けば、レビーの幻視でないとわかり、家族持参のMRIを見れば納得。プレタール®︎服用後から、ハッキリされましたとのこと。幻視があればレビー小体型認知症❓神経の分野も簡略化されたもの。脚が痛くなれば坐骨神経痛❓腰が痛くなればヘルニア❓それらと同次元の診断力。真夏に増える幻視の原因は❓ 真夏の夜の怪談でした👻
2017/06/01 極めてマレな症例と遭遇
まさか・・・こんなに早く・・・出会うとは思いませんでした。上は某文献からですが、当院の症例はコノはるかウエをいく画像所見🙃 海馬温存型もたくさん診ましたし、CBSとかPSPも・・・、MSAも・・・。
しかし、コレは初‼️臨床症状も画像もOKでしょう。国内文献は❌
海外の文献で確認できました。さて、診断は❓スーパードクターは必ずレビーだと診断する😂
まさか・・・こんなに早く・・・出会うとは思いませんでした。上は某文献からですが、当院の症例はコノはるかウエをいく画像所見🙃 海馬温存型もたくさん診ましたし、CBSとかPSPも・・・、MSAも・・・。しかし、コレは初‼️臨床症状も画像もOKでしょう。国内文献は❌
海外の文献で確認できました。さて、診断は❓スーパードクターは必ずレビーだと診断する😂
2017/05/26 前頭葉眼窩面の萎縮≠ピック病
医療において、『絶対』と言う言葉を使うな‼️・・・と言いますが、2症例はいずれも『絶対』、ピック病ではありません。萎縮している原因は・・・。ウチは高齢者専門クリニックですからね。
医療において、『絶対』と言う言葉を使うな‼️・・・と言いますが、2症例はいずれも『絶対』、ピック病ではありません。萎縮している原因は・・・。ウチは高齢者専門クリニックですからね。
2017/05/17 大脳皮質の萎縮>>海馬の萎縮
79歳の女性。遅延再生が苦手。ワーファリンが処方されていた。レミニール®︎を飲んでから、より一層、おかしくなったと家族から。前頭葉が萎縮。ピック病か😂❓コレは沈み込みタイプか😂❓頭頂葉も萎縮。コレはトップの萎縮だ😂脳室の周囲も眺めないと。頭頂葉まで萎縮したピック病❓海馬が免れた典型アルツハイマー❓
大脳皮質まで萎縮したけど、辺縁系が免れた辺縁系優位型アルツハイマー❓辺縁系優位型じゃないか😂それとも・・・。
辺縁系が温存されているのに、大脳皮質がダメージを受ける場合は何でしょうね❓前頭葉の萎縮と頭頂葉の萎縮で原因が違う可能性は❓
こんなカンタンな診断ができない医者はアデュカヌマブを触らないこと。
79歳の女性。遅延再生が苦手。ワーファリンが処方されていた。レミニール®︎を飲んでから、より一層、おかしくなったと家族から。前頭葉が萎縮。ピック病か😂❓コレは沈み込みタイプか😂❓頭頂葉も萎縮。コレはトップの萎縮だ😂脳室の周囲も眺めないと。頭頂葉まで萎縮したピック病❓海馬が免れた典型アルツハイマー❓大脳皮質まで萎縮したけど、辺縁系が免れた辺縁系優位型アルツハイマー❓辺縁系優位型じゃないか😂それとも・・・。
辺縁系が温存されているのに、大脳皮質がダメージを受ける場合は何でしょうね❓前頭葉の萎縮と頭頂葉の萎縮で原因が違う可能性は❓
こんなカンタンな診断ができない医者はアデュカヌマブを触らないこと。
2017/05/14 脊柱管が狭窄していても無症状
たまには、脊椎の話でもしましょうか❓
脊椎でも、骨折と異なり、神経がからんできますから、形態学的思考をほどほどにしないと、ありとあらゆる人々がオペの対象となる可能性があるのです。腰椎を見てみましょう。
どっから、引っ張ってきたんだか、忘れちゃったんですよね。
シンプルな図でなんか好きなんです。シンプルな図でなんか好きなんです。
右が腰椎を横から、左が腰椎を上から覗いた絵。左側の絵で中ほどに輪っかがありますけど、
そこに脊髄がおさまるのです。背骨の上から下まで、輪っかが連なり、脊髄がながながとおさまる腔が『脊柱管』と呼ばれています。その脊柱管というまさに「トンネル」を構成する、『トンネルの壁』に問題が起きるとどうなるか❓
図の左側なんて狭苦しいでしょう‼️コレが脊柱管の『狭窄』と呼ばれる状態ですね。実際のMRIをどうぞ。まずは正常な部位。
次が狭窄部位。一目瞭然でしょうが・・・では、この方にどんな症状が❓
痛み、しびれ、間歇性跛行、膀胱直腸障害・・・など、
ナニモありません‼️
「前頭葉が萎縮してますネ‼️あなたはピックり病です‼️」
「脊柱管が狭窄してます‼️あなたは脊柱管狭窄症です‼️」
画像バカレベルの話です。
脊柱管狭窄『症』ではナイ。症状が無いんだから。
日付けがかわったら、自称「専門家」の画像における知識を分析してみましょう。
たまには、脊椎の話でもしましょうか❓脊椎でも、骨折と異なり、神経がからんできますから、形態学的思考をほどほどにしないと、ありとあらゆる人々がオペの対象となる可能性があるのです。腰椎を見てみましょう。
どっから、引っ張ってきたんだか、忘れちゃったんですよね。
シンプルな図でなんか好きなんです。シンプルな図でなんか好きなんです。
右が腰椎を横から、左が腰椎を上から覗いた絵。左側の絵で中ほどに輪っかがありますけど、そこに脊髄がおさまるのです。背骨の上から下まで、輪っかが連なり、脊髄がながながとおさまる腔が『脊柱管』と呼ばれています。その脊柱管というまさに「トンネル」を構成する、『トンネルの壁』に問題が起きるとどうなるか❓
図の左側なんて狭苦しいでしょう‼️コレが脊柱管の『狭窄』と呼ばれる状態ですね。実際のMRIをどうぞ。まずは正常な部位。

次が狭窄部位。一目瞭然でしょうが・・・では、この方にどんな症状が❓痛み、しびれ、間歇性跛行、膀胱直腸障害・・・など、
ナニモありません‼️
「前頭葉が萎縮してますネ‼️あなたはピックり病です‼️」
「脊柱管が狭窄してます‼️あなたは脊柱管狭窄症です‼️」
画像バカレベルの話です。
脊柱管狭窄『症』ではナイ。症状が無いんだから。
日付けがかわったら、自称「専門家」の画像における知識を分析してみましょう。
2017/05/12 80歳代女性 遅延再生0点
妄想 暴言で困っていると連れて来られました。 現病歴)当初はボンヤリすることから始まり、当然、不活発。物忘れや妄想が目立つようになりました。なんと診断されていたかは❓
どうせ、参考にならないので関心ナシ😂処方を聞けば充分ですから😌ゴネペジル❓ちゃうか❓ドネペジルが処方され、5mgから10mgまで増えたら、更に妄想が増え、更にゴネるようになりました。
なんぼ出しましても・・・遅延再生0点ですから。効いてねぇ〜❌
海馬の萎縮の有無はアテにならない❓❓ホントにそうですか❓❓重要なヒントになりますよね。
80歳代の女性。海馬温存型は否定しますわ。海馬温存型は拙著143ページ。海馬温存型も知らんで認知症を知った気にならん方が身のため😏NFTDですか❓(拙著153〜155ページ)AGDですか❓(拙著156ページ)神経変性疾患大好きですか❓
あ、そうそう、既往歴)脳血管障害があります。医師からは記憶に問題が生じるだろうと言われていたとか・・・できる😳
拙著127ページで記憶回路に触れてあります。記憶って色々と種類がありますね❓記憶に関係するのは海馬のトコロだけですか❓
もう、時代はとっくに脳内ネットワークの時代ですから🤣
もう古いですけど、例えば、以下のDMN。海馬だけの時代は終わりました。
妄想 暴言で困っていると連れて来られました。 現病歴)当初はボンヤリすることから始まり、当然、不活発。物忘れや妄想が目立つようになりました。なんと診断されていたかは❓どうせ、参考にならないので関心ナシ😂処方を聞けば充分ですから😌ゴネペジル❓ちゃうか❓ドネペジルが処方され、5mgから10mgまで増えたら、更に妄想が増え、更にゴネるようになりました。
なんぼ出しましても・・・遅延再生0点ですから。効いてねぇ〜❌
海馬の萎縮の有無はアテにならない❓❓ホントにそうですか❓❓重要なヒントになりますよね。
80歳代の女性。海馬温存型は否定しますわ。海馬温存型は拙著143ページ。海馬温存型も知らんで認知症を知った気にならん方が身のため😏NFTDですか❓(拙著153〜155ページ)AGDですか❓(拙著156ページ)神経変性疾患大好きですか❓
あ、そうそう、既往歴)脳血管障害があります。医師からは記憶に問題が生じるだろうと言われていたとか・・・できる😳
拙著127ページで記憶回路に触れてあります。記憶って色々と種類がありますね❓記憶に関係するのは海馬のトコロだけですか❓
もう、時代はとっくに脳内ネットワークの時代ですから🤣
もう古いですけど、例えば、以下のDMN。海馬だけの時代は終わりました。
2017/05/11 スタスタ歩けるパーキンソン病
3年前にパーキンソン病と診断された女性。大キライなドプス®︎も、大好きなニュープロパッチ®︎も出ていましたね。
スキップだか〜、ホイップだかも処方されていました😂でも・・・、よく、よく、聴いたんですけど、手が細かく震えたことも、
よろめき、転びそうになったことも、足が出にくくなったことも全然ないのですよ‼️
セカンドオピニオンは都内のJ大にて・・・。MIBG心筋シンチ(拙著171ページ)施行されましたが、結論は『疑い』だったとか。にも、かかわらず、上記薬剤のヤマ‼️全く理解できません。現在、診察しましたが、振戦も固縮も姿勢反射障害も歩行障害も
全く認めませんでした。最初から無いのですから当然。こんなことが許されるのでしょうか❓
3年前にパーキンソン病と診断された女性。大キライなドプス®︎も、大好きなニュープロパッチ®︎も出ていましたね。
スキップだか〜、ホイップだかも処方されていました😂でも・・・、よく、よく、聴いたんですけど、手が細かく震えたことも、
よろめき、転びそうになったことも、足が出にくくなったことも全然ないのですよ‼️
セカンドオピニオンは都内のJ大にて・・・。MIBG心筋シンチ(拙著171ページ)施行されましたが、結論は『疑い』だったとか。にも、かかわらず、上記薬剤のヤマ‼️全く理解できません。現在、診察しましたが、振戦も固縮も姿勢反射障害も歩行障害も
全く認めませんでした。最初から無いのですから当然。こんなことが許されるのでしょうか❓
2017/05/03 しのびよる黒いカゲ・・・
膝の痛みで通院中の患者さん。高血圧と脂質異常症の既往あり。膝の痛みは改善してきたら、最近、モノ忘れが気になると。
改訂長谷川式も高得点、遅延再生も満点、頭頂葉機能も特に問題なし。こうなれば、さらなる執拗な問診に移行。
良く良く聞けば、ワーキングメモリーの障害。(拙著123ページ参照)
患者の既往からも、あ〜前頭葉にアレかな❓画像検査依頼へ。ありました、ありました。
V-MCI手前で見つけ出せましたかネ。コレからがウデの見せどころ。
膝の痛みで通院中の患者さん。高血圧と脂質異常症の既往あり。膝の痛みは改善してきたら、最近、モノ忘れが気になると。
改訂長谷川式も高得点、遅延再生も満点、頭頂葉機能も特に問題なし。こうなれば、さらなる執拗な問診に移行。
良く良く聞けば、ワーキングメモリーの障害。(拙著123ページ参照)
患者の既往からも、あ〜前頭葉にアレかな❓画像検査依頼へ。ありました、ありました。
V-MCI手前で見つけ出せましたかネ。コレからがウデの見せどころ。
2017/04/29 遅延再生満点だがADLは・・・
複数の医療機関を受診。もちろん、医療サイド大好き「画像検査」もされていますが、『問題ない』と診断されていた女性。
チョットした縁で当院受診。なるほど・・・ダマされるかも😌改訂長谷川式を見事に高得点でクリア。
でも、複雑な脳内のネットワークシステムがこんなカンベンな問診テストで明らかにできるわけないだろうと考えながら、目の前の患者さんに対峙すべき。できなきゃ問題、できても灰色。MRIをオーダー。
結果は・・・医療サイドが大好きなハッキリした海馬の萎縮。それだけじゃありませんが。
コレで『問題ない』。臨床症状が伴わない画像所見はムシ⁉️いやいや、MRIの撮影をするまでの大、大、大混乱ぶりを聞けば、
日常生活はもはや・・・。握手2分で済ませる認知症専門ドクターでは誤診するでしょうね😏
複数の医療機関を受診。もちろん、医療サイド大好き「画像検査」もされていますが、『問題ない』と診断されていた女性。
チョットした縁で当院受診。なるほど・・・ダマされるかも😌改訂長谷川式を見事に高得点でクリア。
でも、複雑な脳内のネットワークシステムがこんなカンベンな問診テストで明らかにできるわけないだろうと考えながら、目の前の患者さんに対峙すべき。できなきゃ問題、できても灰色。MRIをオーダー。
結果は・・・医療サイドが大好きなハッキリした海馬の萎縮。それだけじゃありませんが。
コレで『問題ない』。臨床症状が伴わない画像所見はムシ⁉️いやいや、MRIの撮影をするまでの大、大、大混乱ぶりを聞けば、
日常生活はもはや・・・。握手2分で済ませる認知症専門ドクターでは誤診するでしょうね😏
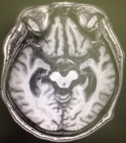
2017/04/27 倒れていた女性
昨年末に倒れていたところを発見された超高齢者。原因は❓と言われたとか・・・。
激昂することがあり、施設の方々も苦労されたとか。ピック病でしょうか❓家族が書かれた経過を読めば、失禁、歩行に問題、・・・。
あ〜😏ド典型な所見と血流の問題。さてさて、シャントも選択肢で。。
昨年末に倒れていたところを発見された超高齢者。原因は❓と言われたとか・・・。激昂することがあり、施設の方々も苦労されたとか。ピック病でしょうか❓家族が書かれた経過を読めば、失禁、歩行に問題、・・・。
あ〜😏ド典型な所見と血流の問題。さてさて、シャントも選択肢で。。
2017/04/17 バネ指の正体
母指が「ポキン、ポキン」とするからと本人ばかりか、内科医の主治医も『弾撥指(バネ指)』
と診断していた症例。関節の変形、及び再現性のある、一定した関節可動域制限から変形性関節症と診断。レントゲン写真にて確定。主治医は腱鞘切開術の依頼をする予定だったとか・・・。
ムダなキズをつくらずに済みました。
母指が「ポキン、ポキン」とするからと本人ばかりか、内科医の主治医も『弾撥指(バネ指)』と診断していた症例。関節の変形、及び再現性のある、一定した関節可動域制限から変形性関節症と診断。レントゲン写真にて確定。主治医は腱鞘切開術の依頼をする予定だったとか・・・。
ムダなキズをつくらずに済みました。
2017/04/09 すべての神経症状を一人で・・・
ふらつき、イビキで気が付かれ、意識も失い、体動も発語も失われ・・・、排尿も困難。
しかし、セレジスト®︎やドプス®︎使用後から更に症状が悪化。悪化しても何も不思議はありません。
アリセプト®︎と同一の次元の対処方法ですからね。一応、MTAの〝1st try〟施行。
(概略は拙著259ページ参照)本当にありがとうございます。
・・・奥さんが今日クリニックに伺い先生に報告したいと話されていました。
よほど嬉しかったのでしょう。セレジスト®︎やドプス®︎とは攻め方が違いますから当然の結果。
まだまだ、やることが沢山あるんです。基本は“7 tries”。まだ、1stに過ぎず。
ふらつき、イビキで気が付かれ、意識も失い、体動も発語も失われ・・・、排尿も困難。しかし、セレジスト®︎やドプス®︎使用後から更に症状が悪化。悪化しても何も不思議はありません。
アリセプト®︎と同一の次元の対処方法ですからね。一応、MTAの〝1st try〟施行。
(概略は拙著259ページ参照)本当にありがとうございます。
・・・奥さんが今日クリニックに伺い先生に報告したいと話されていました。
よほど嬉しかったのでしょう。セレジスト®︎やドプス®︎とは攻め方が違いますから当然の結果。
まだまだ、やることが沢山あるんです。基本は“7 tries”。まだ、1stに過ぎず。
2017/04/05 超一流病院での診断は・・・
超一流病院での診断は・・・この症例は他医療機関の尽力のお蔭で、たくさんの情報を集めることができました。超一流病院での診断は『進行性核上性麻痺(PSP)と正常圧水頭症の合併症例』😂
最初に家族から聞いた時点で、どれも違うな・・・、0点‼️
そうです、最近大流行の・・・『神経変性疾患診断中毒症候群😂』変性疾患の病名を付けないと気が済まない病的医者を受診したら最後ですね😱
MRIの矢状断は何故か良くなかったんで、水平断を出しましたが、これでもOKでしょう。PSPも9亜型ありますが、そもそも、この症例には何ら特徴的な臨床症状が無かったんです。じゃ〜、正常圧水頭症の方は❓・・・否定されました。この冠状断はまた😂
超一流病院での診断は・・・この症例は他医療機関の尽力のお蔭で、たくさんの情報を集めることができました。超一流病院での診断は『進行性核上性麻痺(PSP)と正常圧水頭症の合併症例』😂最初に家族から聞いた時点で、どれも違うな・・・、0点‼️
そうです、最近大流行の・・・『神経変性疾患診断中毒症候群😂』変性疾患の病名を付けないと気が済まない病的医者を受診したら最後ですね😱
MRIの矢状断は何故か良くなかったんで、水平断を出しましたが、これでもOKでしょう。PSPも9亜型ありますが、そもそも、この症例には何ら特徴的な臨床症状が無かったんです。じゃ〜、正常圧水頭症の方は❓・・・否定されました。この冠状断はまた😂
2017/03/11 アルツハイマーの解釈
頭部CT水平断。海馬の萎縮はOKですか❓コレは意味性認知症だっ‼️なんて言うようだと、かなり宗教がかっていますね😂頭部CT矢状断。アタマのてっぺんに深いミゾ。しかし、脳の機能を形態だけで読み取ろうなんてムリ😂神経ネットワークは代償しますからね。左側頭葉の外側も萎縮している‼️
意味性認知症だ‼️信者ですな😂脳の萎縮は多種多様な要因で引き起こされますね。アルツハイマーやら、滅多にお会いできない前頭側頭型認知症やら、スグに変性疾患をあげる連中ほど、ワケがわかっちゃいませんや。生活習慣病の併発及びその管理と重症度がキーポイントでしたね。
頭部CT水平断。海馬の萎縮はOKですか❓コレは意味性認知症だっ‼️なんて言うようだと、かなり宗教がかっていますね😂頭部CT矢状断。アタマのてっぺんに深いミゾ。しかし、脳の機能を形態だけで読み取ろうなんてムリ😂神経ネットワークは代償しますからね。左側頭葉の外側も萎縮している‼️意味性認知症だ‼️信者ですな😂脳の萎縮は多種多様な要因で引き起こされますね。アルツハイマーやら、滅多にお会いできない前頭側頭型認知症やら、スグに変性疾患をあげる連中ほど、ワケがわかっちゃいませんや。生活習慣病の併発及びその管理と重症度がキーポイントでしたね。
2017/03/10 2ヶ月続く痛みが10日間で改善
先月末に受診された、元気いっぱいの患者さん。昨年、関節の可動域制限を伴う左肩関節痛で近医を受診。『腱板断裂』と診断されました。以降、毎日❓通院され物理療法を受けるも症状は改善せず。
・・・で、知人の紹介もあり、先月末の当院受診となったワケです。
診断名を聞いて・・・所見を取り、レントゲンも見れば、ちゃいますね�。と容易にわかります。
診断は難しくなるので詳細は省略しますが、神経痛だったのですよ。で、治療開始して10日目。
痛みは5分の1になったそうです。良かった😊関節の可動域訓練も開始。
復活に向けて始動です‼️誤診はナニも認知症に限ったことじゃありません。
ま〜認知症を誤診されちゃうドクターだと、この肩の診断もモチロン無理でしょう。
パターン学習じゃダメなんですよ。
先月末に受診された、元気いっぱいの患者さん。昨年、関節の可動域制限を伴う左肩関節痛で近医を受診。『腱板断裂』と診断されました。以降、毎日❓通院され物理療法を受けるも症状は改善せず。・・・で、知人の紹介もあり、先月末の当院受診となったワケです。
診断名を聞いて・・・所見を取り、レントゲンも見れば、ちゃいますね�。と容易にわかります。
診断は難しくなるので詳細は省略しますが、神経痛だったのですよ。で、治療開始して10日目。
痛みは5分の1になったそうです。良かった😊関節の可動域訓練も開始。
復活に向けて始動です‼️誤診はナニも認知症に限ったことじゃありません。
ま〜認知症を誤診されちゃうドクターだと、この肩の診断もモチロン無理でしょう。
パターン学習じゃダメなんですよ。
2017/03/05 ハッキリ 見えている骨折線
先日、骨折部治癒を確認できた患者さん。もう、この方の外来診療も、開業する前からだから・・・10年以上になります。年末に転倒しそうになり、膝を踏ん張り、カラダを支えた際に受傷。
右膝痛を主訴に年始早々受診されました。触れば明らかな関節の腫脹あり。「ン・・・(イヤな予感)。」たいてい、当たるイヤな予感。
レントゲン撮影すれば骨折確認‼️患者さんの膝 正常な状態での同部位で比較して下さい‼️
右の写真のどこに異常ありですか❓ 診断は以下の通り、靭帯の付着部を中心に損傷しています。最近では、臨床上も膝不安定性なく、疼痛も改善、レントゲン上も骨癒合確認。現在、日常生活に支障なく、歩行できています。
先日、骨折部治癒を確認できた患者さん。もう、この方の外来診療も、開業する前からだから・・・10年以上になります。年末に転倒しそうになり、膝を踏ん張り、カラダを支えた際に受傷。右膝痛を主訴に年始早々受診されました。触れば明らかな関節の腫脹あり。「ン・・・(イヤな予感)。」たいてい、当たるイヤな予感。
レントゲン撮影すれば骨折確認‼️患者さんの膝 正常な状態での同部位で比較して下さい‼️
右の写真のどこに異常ありですか❓ 診断は以下の通り、靭帯の付着部を中心に損傷しています。最近では、臨床上も膝不安定性なく、疼痛も改善、レントゲン上も骨癒合確認。現在、日常生活に支障なく、歩行できています。
2017/02/21 レントゲンの読影力
主訴は左手掌小指側の痛み。“2週間前”に重荷の下敷きとなり、受傷。レントゲンで明らかな、第5中手骨骨折でした。
骨折してますから、注意すべき点を指示。もちろん、再診も。
主訴は左手掌小指側の痛み。“2週間前”に重荷の下敷きとなり、受傷。レントゲンで明らかな、第5中手骨骨折でした。
骨折してますから、注意すべき点を指示。もちろん、再診も。
2017/02/21 MRIの威力
1月の初めに、チョットした段差で右ヒザ痛 出現。痛くて、近医 受診。
変形性膝関節症の診断にて、関節内注射 開始。それから・・・1月も終わり、2月も中旬になっても痛みは改善せず。友人から紹介され当院受診。発症後、1月半・・・。
ヒザは依然として、腫脹ありのまま。ピーンと察して、MRIオーダー。
本日、結果が出て以下の通り。大腿骨内顆部の関節面の黒い部分に気がつきましたか❓
MRIの他の画像も見ながら診断するのですが、単純レントゲン撮影では全く❓な異常がハッキリ。
さすが、形態学でイケる骨・関節領域で、絶大な威力を発揮するMRI。脳とはMRIの意味が違いますネ。変形性膝関節症ではなかった。と言うオハナシでした。
1月の初めに、チョットした段差で右ヒザ痛 出現。痛くて、近医 受診。変形性膝関節症の診断にて、関節内注射 開始。それから・・・1月も終わり、2月も中旬になっても痛みは改善せず。友人から紹介され当院受診。発症後、1月半・・・。
ヒザは依然として、腫脹ありのまま。ピーンと察して、MRIオーダー。
本日、結果が出て以下の通り。大腿骨内顆部の関節面の黒い部分に気がつきましたか❓
MRIの他の画像も見ながら診断するのですが、単純レントゲン撮影では全く❓な異常がハッキリ。
さすが、形態学でイケる骨・関節領域で、絶大な威力を発揮するMRI。脳とはMRIの意味が違いますネ。変形性膝関節症ではなかった。と言うオハナシでした。
2017/02/16 メがマわリーますなぁ
今日は暖かい1日でした😄以前のむちゃくちゃな食生活の時は花粉のその年一番モノに反応して目が痒いわ〜😭くしゃみ出るわ〜🤧と大変でしたが食生活を改めましたところ本当に改善しまして、20歳で発症した花粉症と👋できました。ナニしたかはもう一つのブログに書いときました参考にして下さい。今日の本題、発症して7年以上は経過、意味記憶(拙著126ページ)も障害されてきたアルツハイマー型認知症患者さん。
入って来るなり、他の患者さんでも今まで見たこともない、ハイテンション状態。おくすり手帳を見せてもらうと有りました!有りました!おめ〜か やっぱり メマリ〜🎶15mgまで出たところで、様子がオカシクなり5mgまで減らしてきていたようですが間に合わなかった・・😔結果的にムダなクスリでした。この方にはね。ま・・理屈を知ることで、ムリして飲ませる価値が無いと容易にわかりますよ。めて・・近所からは駆逐したいですね。
今日は暖かい1日でした😄以前のむちゃくちゃな食生活の時は花粉のその年一番モノに反応して目が痒いわ〜😭くしゃみ出るわ〜🤧と大変でしたが食生活を改めましたところ本当に改善しまして、20歳で発症した花粉症と👋できました。ナニしたかはもう一つのブログに書いときました参考にして下さい。今日の本題、発症して7年以上は経過、意味記憶(拙著126ページ)も障害されてきたアルツハイマー型認知症患者さん。入って来るなり、他の患者さんでも今まで見たこともない、ハイテンション状態。おくすり手帳を見せてもらうと有りました!有りました!おめ〜か やっぱり メマリ〜🎶15mgまで出たところで、様子がオカシクなり5mgまで減らしてきていたようですが間に合わなかった・・😔結果的にムダなクスリでした。この方にはね。ま・・理屈を知ることで、ムリして飲ませる価値が無いと容易にわかりますよ。めて・・近所からは駆逐したいですね。
2017/01/13 『治療抵抗性』レビー小体型認知症の正体
80歳代男性。他院で「海馬の萎縮」を指摘されています。
当院受診後、確認できた症状や所見は以下の通り。
・進行性の認知機能の低下・頻回の幻視・妄想 特に嫉妬妄想・歩行障害 幸い転倒はありません・レム睡眠行動障害
・薬剤過敏性 ごく微量で悪化します・低活動型せん妄・振戦や筋固縮はハッキリしません・眼球運動障害は認めません
・失禁はありません・けいれんの既往はありません。ところが・・・です。
薬剤過敏性があれば、むしろ、微量での管理が可能となるハズなんですが・・・効果が出ないのです。まさに治療に抵抗。
ヤルコト、ナスコト、見事にはね返されています。こうなれば、オマケがあることは確実。
そう、レビーオンリーじゃないだろうと言うこと。いよいよ、頭部CTをオーダー。
ありました、ありました。脳梗塞を合併したレビー◯ックスですか〜🤣いえいえ、違います。
冠状断(脳を顔面方向から)透明中隔腔を認めます。確かに両側で
海馬は萎縮していますが・・・。トンデモもなく、重要な所見があります。
下記をご覧ください。
水平断(頭のてっぺんから)脳のシワ(脳溝)が細くて、目立ちませんよね。矢状断(頭を真横から)アタマのてっぺんにはやはり脳溝が目立ちません。さて・・・所沢の有志諸氏、この患者さんはナニを合併していたか、わかりましたか❓
答えは拙著194ページを‼️
80歳代男性。他院で「海馬の萎縮」を指摘されています。
当院受診後、確認できた症状や所見は以下の通り。
・進行性の認知機能の低下・頻回の幻視・妄想 特に嫉妬妄想・歩行障害 幸い転倒はありません・レム睡眠行動障害
・薬剤過敏性 ごく微量で悪化します・低活動型せん妄・振戦や筋固縮はハッキリしません・眼球運動障害は認めません
・失禁はありません・けいれんの既往はありません。ところが・・・です。
薬剤過敏性があれば、むしろ、微量での管理が可能となるハズなんですが・・・効果が出ないのです。まさに治療に抵抗。
ヤルコト、ナスコト、見事にはね返されています。こうなれば、オマケがあることは確実。
そう、レビーオンリーじゃないだろうと言うこと。いよいよ、頭部CTをオーダー。
ありました、ありました。脳梗塞を合併したレビー◯ックスですか〜🤣いえいえ、違います。
冠状断(脳を顔面方向から)透明中隔腔を認めます。確かに両側で海馬は萎縮していますが・・・。トンデモもなく、重要な所見があります。
下記をご覧ください。
水平断(頭のてっぺんから)脳のシワ(脳溝)が細くて、目立ちませんよね。矢状断(頭を真横から)アタマのてっぺんにはやはり脳溝が目立ちません。さて・・・所沢の有志諸氏、この患者さんはナニを合併していたか、わかりましたか❓
答えは拙著194ページを‼️
2017/01/07 所沢の有志の皆様 病名は❓
発症は65歳。主訴は物忘れ。詳細は省きますが、発症は実に分かりやすく、見事にADLが障害されました。進行は急速。レビーだ‼️ピックだー‼️‼️なんて症状は微塵もありゃしません。礼節は保たれ、一見しただけではフツウの方。改訂長谷川式は遅延再生全滅の8点。時計も図形描写も全滅。RBDありません。錐体外路兆候も、眼球運動障害も・・・神経学的な問題は認めませんでした。
画像上、側頭葉外側の萎縮は認めず、内側部の海馬の萎縮はナイことはありませんが軽い。
海馬の軽い萎縮に比べ、前頭葉や頭頂葉には明らかな萎縮確認。
仕事をしていた頃から比べ、見事にキャラは変貌を遂げられたようです。
聞くところ、見事にしっかりモノがユルキャラになられました。近所は大丈夫とのことですが、間違いなく、話の内容からして、道には迷うでしょう。これから、側頭葉が萎縮してくる、前頭側頭型認知症でしょうか🤣正解を考えておいて下さい。
秒殺でしょうけどね。
発症は65歳。主訴は物忘れ。詳細は省きますが、発症は実に分かりやすく、見事にADLが障害されました。進行は急速。レビーだ‼️ピックだー‼️‼️なんて症状は微塵もありゃしません。礼節は保たれ、一見しただけではフツウの方。改訂長谷川式は遅延再生全滅の8点。時計も図形描写も全滅。RBDありません。錐体外路兆候も、眼球運動障害も・・・神経学的な問題は認めませんでした。画像上、側頭葉外側の萎縮は認めず、内側部の海馬の萎縮はナイことはありませんが軽い。
海馬の軽い萎縮に比べ、前頭葉や頭頂葉には明らかな萎縮確認。
仕事をしていた頃から比べ、見事にキャラは変貌を遂げられたようです。
聞くところ、見事にしっかりモノがユルキャラになられました。近所は大丈夫とのことですが、間違いなく、話の内容からして、道には迷うでしょう。これから、側頭葉が萎縮してくる、前頭側頭型認知症でしょうか🤣正解を考えておいて下さい。
秒殺でしょうけどね。
2017/01/07 見逃された腰椎圧迫骨折
80代後半の男性。 主訴は腰痛と下肢の痺れ。MRIも要りませんや。
この単純レントゲン写真で充分。
前医での骨折の指摘はナシ。効かない内服と湿布が出ました。
高齢者医療の問題は認知症だけじゃありません。
80代後半の男性。 主訴は腰痛と下肢の痺れ。MRIも要りませんや。この単純レントゲン写真で充分。
前医での骨折の指摘はナシ。効かない内服と湿布が出ました。
高齢者医療の問題は認知症だけじゃありません。
2016/11/04 脊椎外科専門医の迷作
前勤務先からだから・・・もう何年だろう❓
長い間、お付き合いさせて貰っている患者さん。
怪我をされて、2年ぶりに受診。ふと見れば、インスツルメンテーション術後。
スクリューの長さもスペーサーのポジションも素晴らしい😱
某私立大医学部の関連病院での『迷作』ですね。
もう、元整形外科医はノーコメント🙃。
今年の忘年会は荒れるわね〜。。
前勤務先からだから・・・もう何年だろう❓長い間、お付き合いさせて貰っている患者さん。
怪我をされて、2年ぶりに受診。ふと見れば、インスツルメンテーション術後。
スクリューの長さもスペーサーのポジションも素晴らしい😱
某私立大医学部の関連病院での『迷作』ですね。
もう、元整形外科医はノーコメント🙃。
今年の忘年会は荒れるわね〜。。
一例についての考察
同じような症例や状況等で中々相談できない状況などがあるかとは思います。一つの参考として下さい。
また、内容につきましてはクリニックとしての考察である事をご理解の上、参照して下さい。
同じような症例や状況等で中々相談できない状況などがあるかとは思います。一つの参考として下さい。
また、内容につきましてはクリニックとしての考察である事をご理解の上、参照して下さい。



